Παράκαμψη προς το κυρίως περιεχόμενο
INFO
ΑΞΙΟΘΕΑΤΑ
ΧΡΗΣΙΜΑ
ΠΡΟΣΦΟΡΕΣ
Επικοινωνία
Θέσεις Εργασίας
Είσοδος
F
G+
ΒΡΕΙΤΕ
ΒΡΕΙΤΕ ΚΟΝΤΑ ΣΑΣ
Απόσταση
Unit
Χιλιόμετρα
Meters
Miles
Yards
Feet
Nautical Miles
from
Origin
Καταστήματα Ηλεκτρικών - Ηλεκτρονικών (on-line)
Δε βρέθηκαν αποτελέσματα που να ταιριάζουν στα κριτήρια αναζήτησης.
Προσφορές
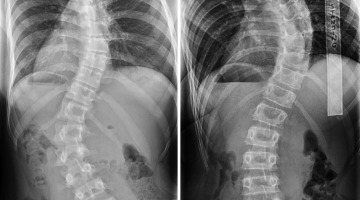
Σκολίωση - Schroth
ΑΔΝΑΝ ΝΑΛΜΠΑΝΤ
Όθωνος 2, Κομοτηνή
ΗΛΕΚΤΡΟEXPRESS ΚΟΜΟΤΗΝΗ ΚΑΙ ΠΙΣΤΟΠΟΙΗΤΙΚΑ ΔΕΗ
ΜΙΧΑΗΛΙΔΗΣ ΚΩΝΣΤΑΝΤΙΝΟΣ ΗΛΕΚΤΡΟEXP...
Ναρσή 20, Κομοτηνή, Κομοτηνή
Προσφορές Σεπτεμβρίου 15%
ΜΙΧΑΗΛΙΔΗΣ ΚΩΝΣΤΑΝΤΙΝΟΣ ΗΛΕΚΤΡΟEXP...
Ναρσή 20, Κομοτηνή, Κομοτηνή
-25% μέχρι 10 Αυγούστου
ΜΙΧΑΗΛΙΔΗΣ ΚΩΝΣΤΑΝΤΙΝΟΣ ΗΛΕΚΤΡΟEXP...
Ναρσή 20, Κομοτηνή, Κομοτηνή
Προσφορές Μαϊου 15%
ΜΙΧΑΗΛΙΔΗΣ ΚΩΝΣΤΑΝΤΙΝΟΣ ΗΛΕΚΤΡΟEXP...
Ναρσή 20, Κομοτηνή, Κομοτηνή
ΗΛΕΚΤΡΟΛΟΓΙΚΈΣ εγκαταστάσεις
ΜΙΧΑΗΛΙΔΗΣ ΚΩΝΣΤΑΝΤΙΝΟΣ ΗΛΕΚΤΡΟEXP...
Ναρσή 20, Κομοτηνή, Κομοτηνή
ΠΡΟΣΦΟΡΕΣ-ΔΙΑΦΗΜΙΣΤΙΚΗ ΚΟΜΟΤΗΝΗΣ
ΔΙΑΦΗΜΙΣΤΙΚΗ ΚΟΜΟΤΗΝΗΣ - ΜΑΤΖΙΡΗΣ Τ...
Κοσμίου 29, Κομοτηνή, Ροδόπη
Μεταφορές επιβατών-Διαφημιστικές υπηρεσίες
ΑΣΤΙΚΟ ΚΤΕΛ ΚΟΜΟΤΗΝΗΣ Α.Ε.
Ηροδότου 7, Κομοτηνή, Ροδόπη
ms 170 D 199 ευρο + αλυσιδα
ΠΑΡΜΑΚΗΣ ΑΘΑΝΑΣΙΟΣ
Σισμανόγλου 24, Κομοτηνή
Πατήστε για να κρατήσετε το χάρτη ακίνητο.